PROFETAL – LIMA PERU

Mas de 5.000 Pacientes Satisfechos

Dra. Gabriela Maurera Mendoza

Ginecología y Obstetricia

Sub especialista: Perinatología Y Medicina Materno Fetal

Especialidad en ecocardiografia fetal.

CMP: 084078

RNE: 038215

Información Personal

Perinatóloga dedicada al diagnóstico prenatal y vigilancia del bienestar fetal.
Experta en ecografía obstétrica avanzada, Doppler fetal, evaluación de malformaciones congénitas y manejo de complicaciones del embarazo.
Mi objetivo es ofrecer tranquilidad, claridad diagnóstica y acompañamiento especializado en cada etapa de la gestación.

Formación Académica

La Dra. Gabriela Maurera Mendoza es una especialista dedicada a la salud de la mujer en todas las etapas de su vida, con un enfoque particular en la Obstetricia y la Medicina Materno-Fetal. Su vasta experiencia le permite brindar una atención integral desde el primer control ginecológico hasta el cuidado más especializado durante el embarazo y el parto.

Su expertise se extiende a la Ecocardiofrafía Fetal, permitiéndole brindar una atención completa y de alta especialización durante el embarazo.

La Dra. Maurera se distingue por su enfoque cercano y empático, creando un ambiente de confianza para sus pacientes. Se especializa en el seguimiento de embarazos de alto riesgo, diagnósticos prenatales y en garantizar el bienestar de la madre y el bebé. Su práctica se basa en la medicina de vanguardia, utilizando las últimas tecnologías para ofrecer un cuidado de excelencia.

Años de experiencia
+ 0
Cirugías
+ 0
Cirugías invasivas
+ 0
Pacientes satisfechos
+ 0

Más testimonios

El Dr. Diego Diaz fue completamente certero en su diagnóstico, amable y claro.
Mercedes Gomez
El Dr. Diego Diaz fue completamente certero en su diagnóstico, amable y claro.
Mercedes Gomez
El Dr. Diego Diaz fue completamente certero en su diagnóstico, amable y claro.
Mercedes Gomez
El Dr. Diego Diaz fue completamente certero en su diagnóstico, amable y claro.
Mercedes Gomez

Conozca más sobre nuestros servicios

Control Prenatal (Bajo y Alto Riesgo)

La Dra. Maurera se especializa en la evaluación y manejo de patologías obstétricas de alto riesgo, como la preeclampsia, una condición común caracterizada por un aumento de la presión arterial que puede llevar a complicaciones graves tanto para la madre (eclampsia) como para el bebé (problemas de crecimiento o muerte fetal).

También se enfoca en el manejo de gestantes con condiciones de base como hipertensión crónica, cardiopatías, epilepsia, diabetes, o anemia. Ofrece una evaluación exhaustiva para descartar riesgos de diabetes gestacional, patologías inmunológicas como lupus, y problemas tiroideos, que pueden afectar el desarrollo del feto y la salud de la madre

Manejo de Patologías Fetales Complejas

La Dra. Maurera se especializa en la evaluación y manejo de patologías obstétricas de alto riesgo, como la preeclampsia, una condición común caracterizada por un aumento de la presión arterial que puede llevar a complicaciones graves tanto para la madre (eclampsia) como para el bebé (problemas de crecimiento o muerte fetal).

También se enfoca en el manejo de gestantes con condiciones de base como hipertensión crónica, cardiopatías, epilepsia, diabetes, o anemia. Ofrece una evaluación exhaustiva para descartar riesgos de diabetes gestacional, patologías inmunológicas como lupus, y problemas tiroideos, que pueden afectar el desarrollo del feto y la salud de la madre

Entre los estudios ecográficos que ofrece se encuentran:

  • Ecografía de Viabilidad (Semanas 4-11): Un examen transvaginal para confirmar la progresión normal del embarazo y el número de embriones. Es crucial para mujeres con sangrado, dolor, o antecedentes de abortos y embarazos ectópicos.

  • Ecografía Genética Doppler (Semanas 12-14): Permite fijar la edad gestacional, diagnosticar embarazos múltiples y anomalías fetales, y evaluar el riesgo de Síndrome de Down, preeclampsia y parto prematuro.

  • Ecografía Morfológica Doppler (Semanas 16-26): Un estudio detallado de cada parte del cuerpo fetal (cerebro, corazón, columna, órganos y extremidades) para descartar anomalías estructurales.

  • Ecografía de Crecimiento Doppler (Semanas 28-36): Evalúa el crecimiento fetal y la función placentaria para asegurar que el peso del bebé sea el adecuado para su edad gestacional.

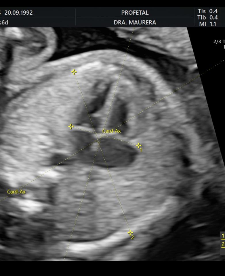
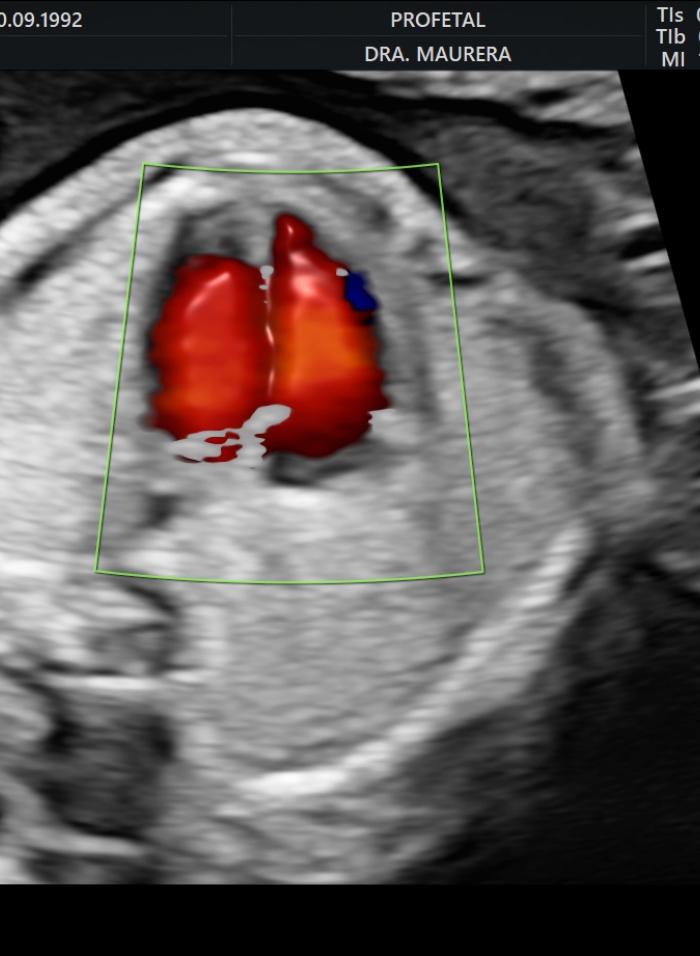
  • Ecocardiografía Fetal (Semanas 24-28): Un estudio especializado del corazón fetal para descartar cardiopatías congénitas, especialmente en embarazos de alto riesgo.

  • Neurosonografía Fetal: Un estudio detallado del cerebro fetal para descartar patologías del sistema nervioso central detectadas en ecografías previas.

  • Crioterapias.
  • Cono Leep.
  • Cono fríos.
  • Biopsias de cuello uterino.
  • Biopsia de Endometrio
  • Biopsias múltiples.
  • Histeroscopias
  • Histerectomía Radical simple.
  • Histerectomía por Cáncer de Cuello Uterino.
  • Cirugía por Cáncer de Ovario Avanzado.
  • Cirugía por Cáncer de Ovario Avanzado.
  • Quiste o Tumor Benigno del Ovario.
  • Endometriosis.
  • Cáncer Avanzado de Ovario